Damir Mukhamadiev
Dentist, oral surgeon, implantologist
Dr.med.dent, Postgraduate Study Heidelberg University (German Dental Board)
MSc. in Oral Implantology, Frankfurt University
EAO-Certified in Implant-Therapy
Diplomate ICOI-Certified
Dr. Damir Mukhamadiev
About me
A professional journey of 24 long years
In 1998, I graduated with honors from Bashkir State Medical University with a degree in Dentistry, thus beginning my medical career.

This was followed by a 4-year postgraduate Residency Program majoring in Oral Surgery at the German dental clinic (Heidelberg University Head Hospital, Germany).

After successfully completing the program, I took the German state examination in 2005 and was conferred the title of Board Certified Oral Surgeon (Baden-Wuerttemberg Zahnaerztekammer (ZAK), Germany).
In the same year, I received the degree of Doctor of Dental Medicine (Heidelberg University, Germany).
In 2015, I was awarded a prestigious certificate from the European Association for Osseointegration (EAO - www.eao.org) in recognition of my successful completion of the Master of Science in Oral Implantology program at Goethe University Frankfurt, Germany. This program provided me with a comprehensive knowledge of the field and the necessary skills to practice it.

In 2016, I was honored to become a Fellow of the International Congress of Oral Implantologists (ICOI). This further enabled me to share my knowledge and experience with others, as I became an Academic tutor in the Master of Oral Implantology (MOI) program at Frankfurt University.

In 2018, my dedication and expertise in Oral Implantology was rewarded with the distinguished title of Diplomate ICOI (DICOI). This achievement has enabled me to continue to provide the highest quality of care to my patients.
Since 2018, I have been providing private educational courses online and offline, which have been attended by over 3,000 dentists. Further details about these courses can be found in the “Courses for Dentists” section.
My works
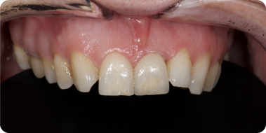
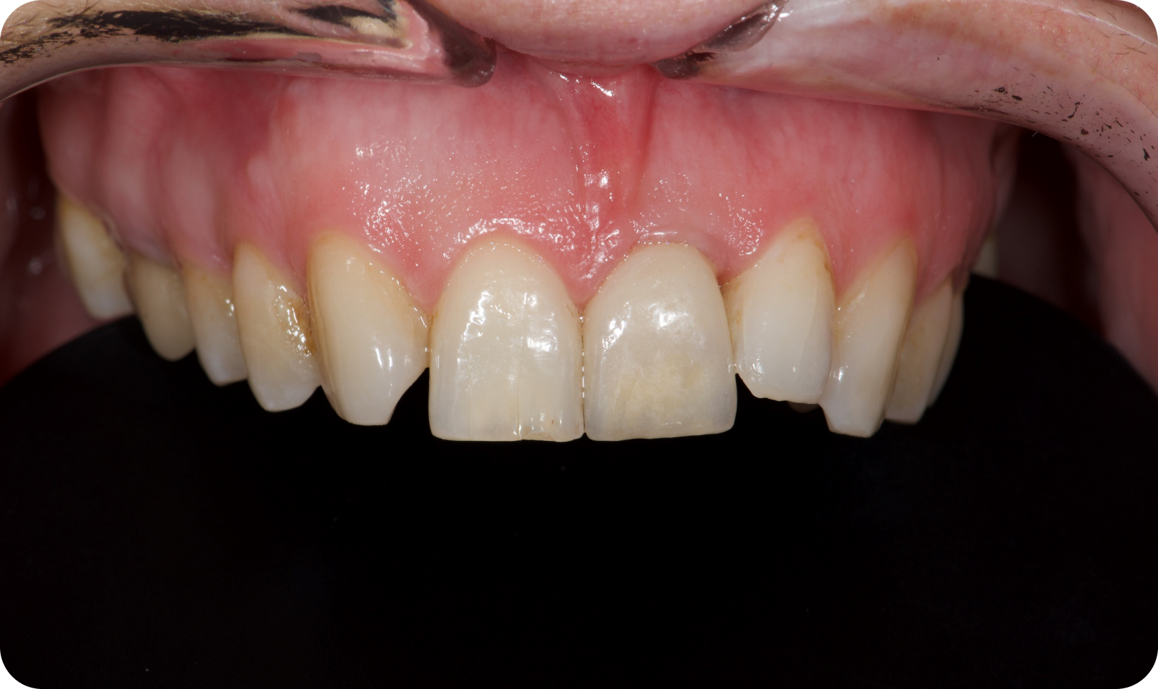
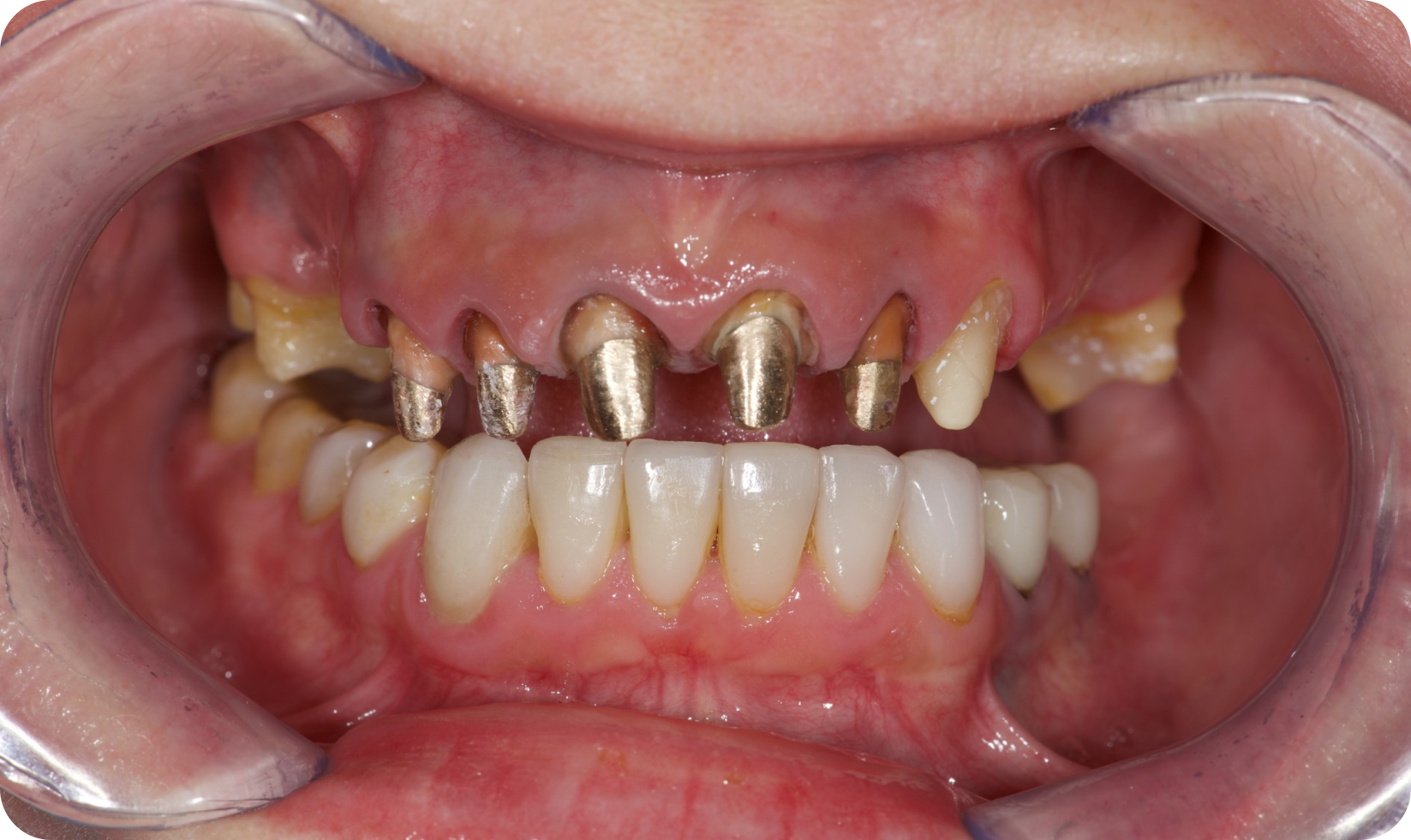
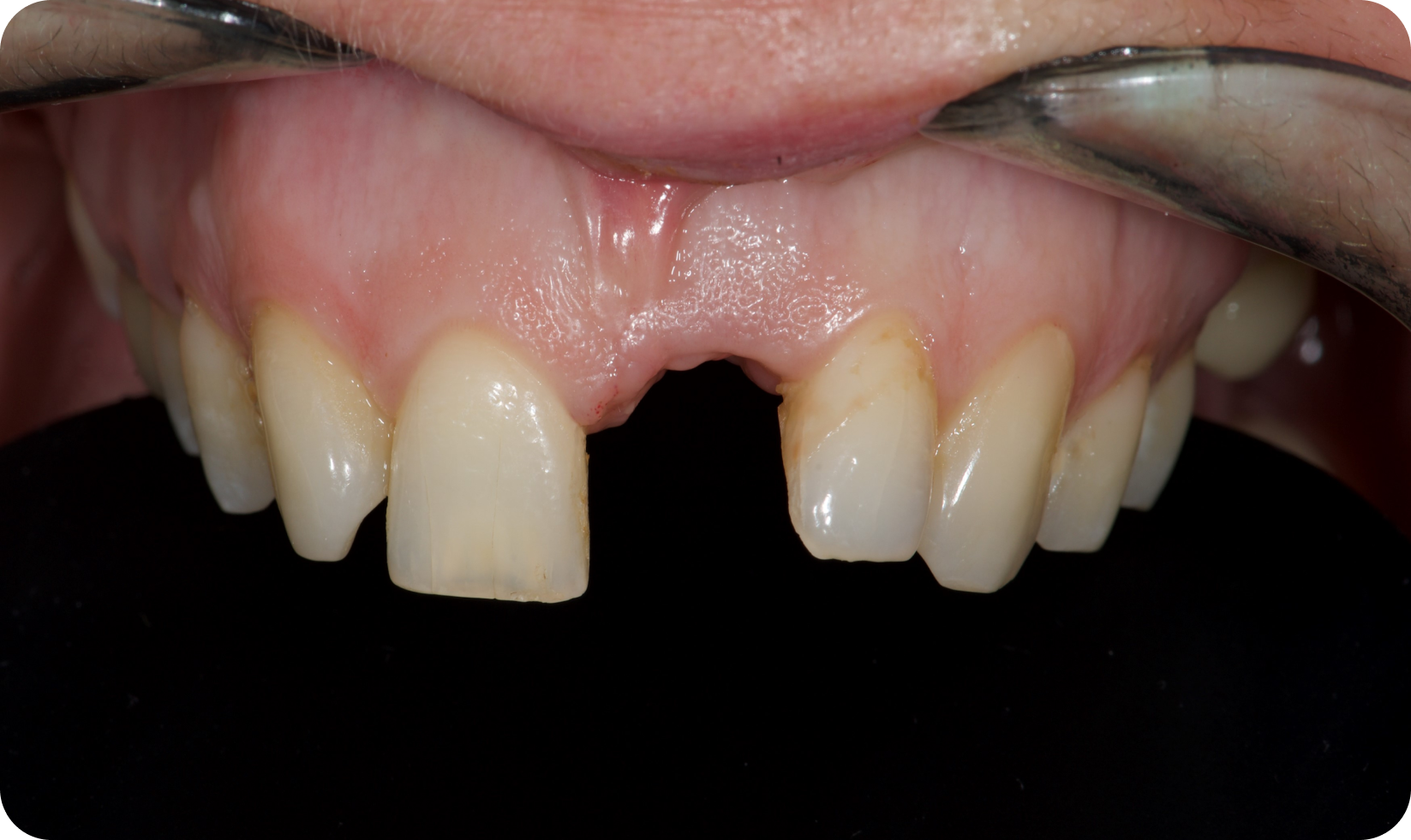
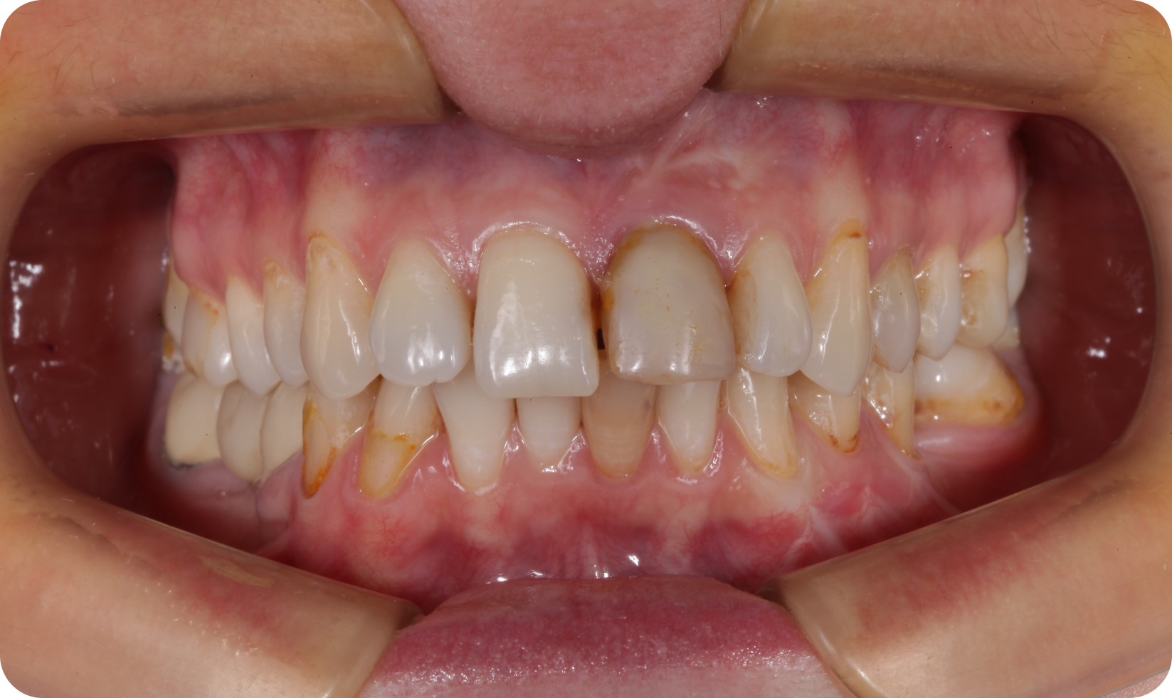
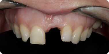
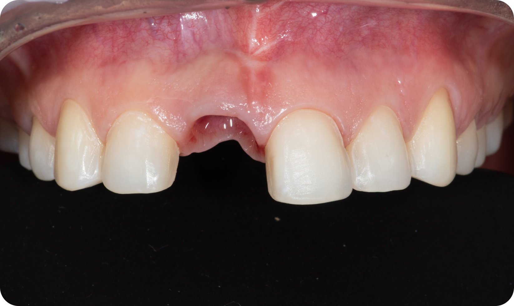
before:
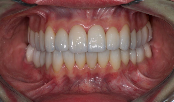
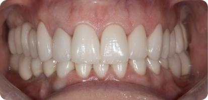
after:
before:
after:
before:
after:
before:
after:
before:
after:
CBCT:
CBCT:
CBCT:
CBCT:
CBCT:
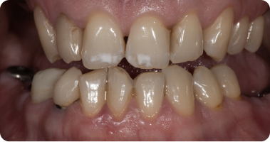
Crowns performed by Dr. Chikunov
before:
CBCT:
after:
before:
CBCT:
after:
before:
CBCT:
after:
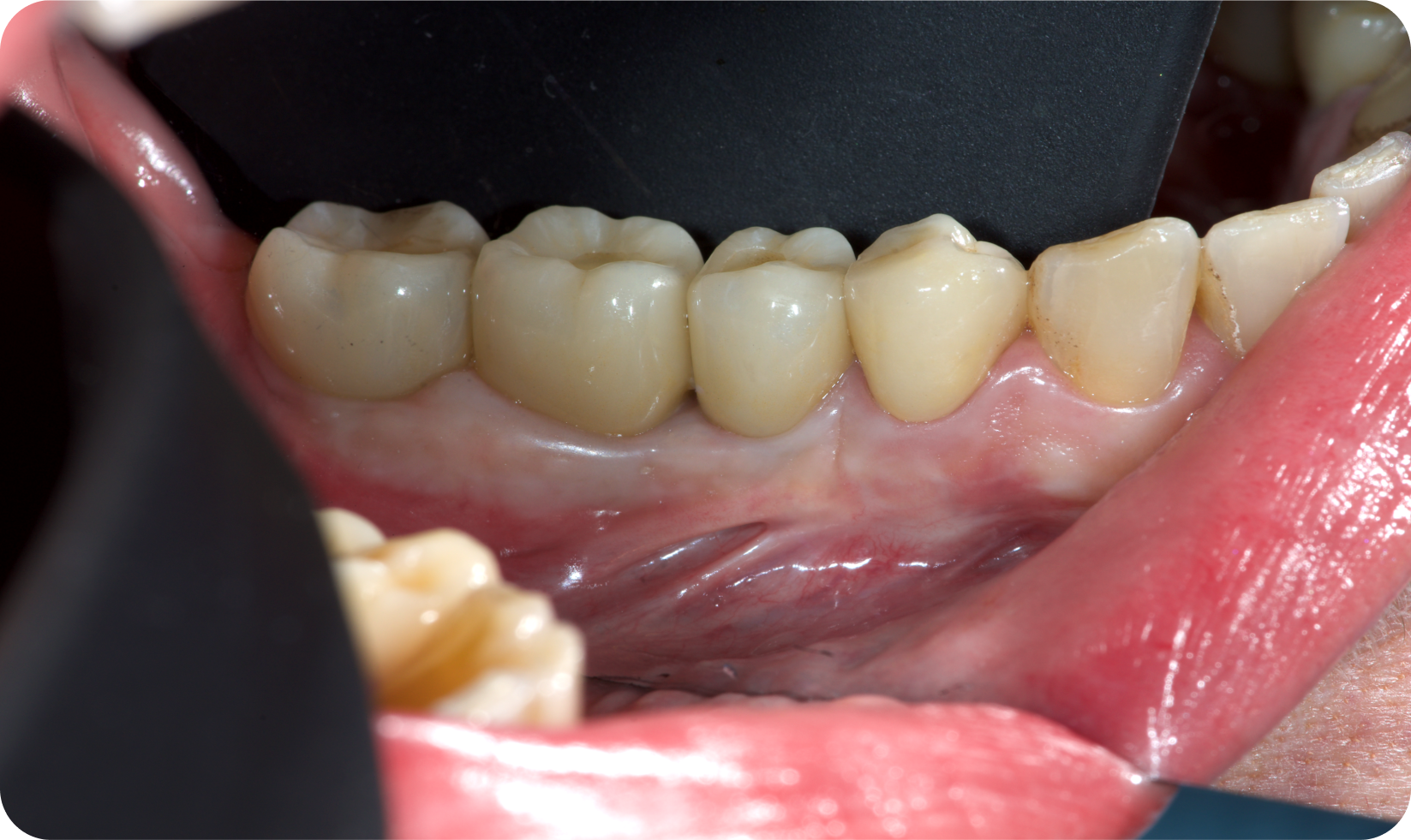
Crowns performed by Dr. Chikunov
Crowns performed by Dr. Chikunov
Crowns performed by Dr. Chikunov
Crowns performed by Dr. Chikunov
Crowns performed by Dr. Chikunov
Crowns performed by Dr. Chikunov
Crowns performed by Dr. Chikunov
before:
before:
after:
Crowns performed by Dr. Chikunov
Teaching Experience
2022
Master of Bone Augmentation. Hands-On. Moscow. Speaker
Master of Bone Augmentation. Hands-On. Moscow Speaker
2021
Master of Bone Augmentation. Hands-On. Moscow. Speaker
Master of Bone Augmentation. Hands-On. Moscow. Speaker
Practical Conference of Implantologists in Vladivostok-2021. Speaker
2020
University of Pennsylvania. Online-Lecture. “Autogenous-only” Concept in Dental Practice
The 9th International MOI Congress "Innovation Jumps in Oral Implantology" in Goethe University Frankfurt
2019
2018
Bachelor's degree in Implantology. Hands-On. Moscow. Speaker
Bone Experts Congress. Moscow. Speaker
Master of Bone Augmentation. Hands-On. Moscow. Speaker
Bone Augmentation Workshop. Cleveland (USA). Speaker
Graduate of Goethe University. Speaker
St. Petersburg Implantology Congress. Speaker
World congress Dentsply-Sirona. Moscow. Speaker
Biological bone augmentation concept. Dentsply-Sirona. Advanced course. Kazan
Master of Bone Augmentation. Hands-On. Moscow
2017
International Implantology Congress in Warsaw. Main Speaker
Advanced dentistry course on Bone Augmentation in Moscow. Speaker
MOI Congress in Frankfurt. Keynote Speaker
World congress Dentsply-Sirona 2017
Advanced dentistry course on Bone Augmentation in Nizhniy-Novgorod. Speaker
Advanced dentistry course in Pakistan. Speaker
Advanced dentistry course on Bone Augmentation in Tver. Speaker
Courses for Dentists
As a seasoned professional in the field of Oral Implantology, my journey as an educator began in 2016, when I was appointed as an Academic tutor in the prestigious Postgraduate Study Program “Master of Oral Implantology (MOI)”.

I have dedicated myself to sharing my knowledge and experience with my colleagues through a variety of teaching endeavors. These include guiding students as they defend their diplomas, delivering lectures and seminars, and serving as a research supervisor.

So, since 2016, I have been helping students defend their diplomas, conducting lectures and seminars, and being a research supervisor.
More than 3,000 doctors from all over the world have been trained so far. Below you can see photos from the courses.
The course “From Dentist to Implantologist”, where I teach doctors to place their first implants and help them to improve their skills if they already have some experience.
My Best Сourses:
In addition to this, I have also been offering private educational events since 2018. By conducting webinars, live surgeries and face-to-face workshops, I am able to impart my knowledge to a diverse audience and equip them with the skills and understanding needed to excel in their own careers.
Would you like to learn more about the courses? Or you're interested in the appointment?
For any questions, please fill out the form.
After filling out the form, my assistant will contact you and advise you on all the questions.
The course “Vertical augmentation" - for experienced implantologists.
Face-to-face hands-on covering various areas and levels of training.
Contacts
Are you looking for free case studies, life hacks, and surgical videos with explanations? Then don't wait any longer - subscribe to my blog on Instagram, where I post educational content every day!
Click the button below to find out more!
2022 Mukhamadiev Damir Mirgasimovich